



* Healthy Smiles Dental Care & Sripuram Dental Care are the best destinations for all dental prostheses like, veneers crowns, bridges, implants, full mouth dental implants, removable dentures and complete dentures.
* Removable dentures are given when there is a single or more teeth loss. These removable dentures are at very affordable prices but gives only 50-60% functional efficiency.
* Complete dentures are given to patients when there are total teeth loss to bring back the functional efficency for the patients.
* A crown (cap) is given when there for a single tooth.
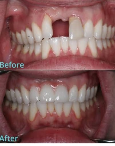
* A bridge is given to 2 or more teeth taking the support of adjacent natural teeth and cemented (fixed) permanantly.
* A Dental implant or implants are given when there is single or multiple teeth loss which is a permanent fixed option restoring the natural tooth .
* Dental implants when placed in mouth reduces bone loss compared to a fixed bridge because dental implant is kept in the place of a root and the dental implant osseointegrates (fuses) with the bone around, mimicking a tooth.
* Full mouth Dental implants is advised when all the teeth are lost. A fixed dental option. “Teeth for all & Teeth in a day” is our clinics (Healthy Smiles Dental Care & Sripuram Dental Care) motto.
